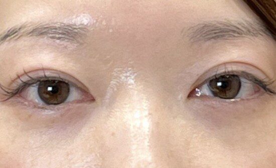
- 【施術名】
- ヒアルロン酸
- 【施術の説明】
- ヒアルロン酸を気になる部位に注入し、シワ改善、ボリュームアップ、輪郭形成に加えて、唇や涙袋の形成など、自然な若返りや立体感を叶える治療です。
- 【施術の副作用(リスク)】
- 内出血・腫れ・痛み・左右差・しこりや凹凸が生じる場合があり、まれにアレルギー反応や血管閉塞などの合併症が起こる可能性があります。
- 【施術の価格】
- 28,600 円(税込)
※施術の効果・結果には個人差があります。施術内容により価格が変動する場合があります。
BeforeAfter
※施術の効果・結果には個人差があります。施術内容により価格が変動する場合があります。

北海道札幌市北区北6条西4丁目2-7
J1札幌北口ビル 2階
診療時間 : 11:00~20:00 / 年中無休
(年始年末は休診)